V razvitih državah se pomanjkanje vitamina B12 (kobalamina) običajno pojavi pri dojenih otrocih, katerih matere so vegetarijanke ali veganke, kar povzroči nizke zaloge vitamina B12 v telesu. Hematološka manifestacija pomanjkanja vitamina B12 je perniciozna anemija. Gre za megaloblastno anemijo z visokim srednjim telesnim volumnom in značilnimi morfološkimi značilnostmi, kot je hiperlobulacija jeder granulocitov.
V napredovalih primerih se lahko pojavita nevtropenija in trombocitopenija, ki simulirata aplastično anemijo ali levkemijo. Poleg hematoloških simptomov se pri dojenčkih lahko pojavijo šibkost, utrujenost, neuspeh in razdražljivost. Drugi pogosti znaki so bledica, glositis, bruhanje, driska in ikterus. Nevrološki simptomi lahko prizadenejo osrednje živčevje in v hudih primerih redko povzročijo atrofijo možganov.
V tem prispevku poročamo o primeru 12-mesečnega dojenčka, ki so ga sprejeli z nevrološkimi simptomi in mu diagnosticirali pomanjkanje vitamina B12.
Pomanjkanje vitamina B12 ali kobalamina je redek in ozdravljiv vzrok neuspešnega razvoja in zakasnelega razvoja pri dojenčkih. V razvitih državah se pomanjkanje običajno pojavi pri dojenčkih, ki so izključno dojeni in katerih matere imajo neprepoznano perniciozno anemijo ali so vegetarijanke/veganke, kar povzroči prenizke telesne zaloge vitamina B12 pri dojenčku ob rojstvu in nezadostne količine vitamina v materinem mleku.
Ker je edini vir hrane dojenčkov materino mleko, zlahka pride do pomanjkanja vitamina B12. Znaki in simptomi pomanjkanja vitamina B12 se pojavijo med 4. in 12. mesecem starosti in vključujejo makrocitno anemijo, šibkost, utrujenost, slabše uspevanje in razdražljivost. Drugi pogosti znaki so bledica, glositis, bruhanje, driska in ikterus. Z dodajanjem vitamina B12 se doseže ugoden odziv, zlasti nevrološki simptomi pa se izboljšajo v nekaj dneh po zdravljenju.
Včasih se posledic ne da odpraviti
Vendar pa se po zdravljenju včasih zgodi, da okrevanje od bolnika do bolnika niha in ostane zmerno ali hudo zaostalo, zato si je treba prizadevati za preprečevanje pomanjkanja B12 pri nosečnicah in doječih materah z vegansko prehrano ter njihovih dojenčkih z dodajanjem B12. Kadar preventivno dodajanje ne uspe, morajo zdravstveni delavci prepoznati in hitro zdraviti dojenčka, ki ne uspeva in ima zakasneli razvoj. Tako je treba opraviti popolno krvno sliko, določiti raven vitamina B12 v serumu in kranialno magnetno resonanco (MRI) ter nemudoma začeti dodajati vitamin B12.
12-mesečnega dojenčka moškega spola iz province Konya v Turčiji so aprila 2012 zaradi razvojne regresije in zaostanka v rasti napotili na Pediatrično kliniko bolnišnice Konya Education and Research Hospital. Anamneza, ki jo je prevzela njegova mati, je pokazala, da se je po nekomplicirani nosečnosti in porodu rodil v roku in je tehtal 3500 g. Bil je izključno dojen, njegova mati pa se je več let prehranjevala vegetarijansko.
Do šestega meseca je imel normalen razvoj: pri dveh mesecih se je smejal, pri štirih mesecih je nadzoroval glavo in pri petih mesecih se je začel prevračati. V prvih šestih mesecih življenja so bile njegove telesne mere na 25.-50. percentilu za težo in dolžino ter na 50. percentilu za obseg glave. Ko je otrok dopolnil 6 mesecev, so starši ugotovili, da je njihov otrok prenehal pridobivati težo in postal manj aktiven.
Čeprav so bili ob sprejemu hitri refleksi in pregled lobanjskih živcev normalni, je bil letargičen, vsesplošno hipotoničen, premalo nasmejan in ni vizualno sledil predmetom. Njegova teža (8600 g) in dolžina (71 cm) sta bili na 10.-25. percentilu, obseg glave (45,5 cm) pa na 25. percentilu. Rezultati splošnega telesnega pregleda so bili normalni, vendar je bilo ugotovljeno, da so se okoli kotov obeh očesnih vek in ust pojavile razjede, kot je razvidno iz fotografije.

Raven hemoglobina, število granulocitov in trombocitov je bilo 8,8 g/dl, 6,02×103/mm3 oziroma 308×103/mm3. Srednji korpuskularni volumen, število retikulocitov, število eritrocitov in hematokrit so bili 97,3 fL (referenčno območje 80-96 fL), 6×103/mm3, 2,63×106/mm3 oziroma 21,3 %. Nevtrofilci so bili hipersegmentirani. Raven kobalamina v serumu je bila 117 pg/ml (referenčno območje 211-911 pg/ml). V serumu je bila raven folata 13,85 ng/ml (referenčno območje 3,1-20 ng/ml). Ravni železa in feritina, biokemični profil in rezultati urinskih testov so bili normalni, z normalno aminokislino v krvi in urinu.
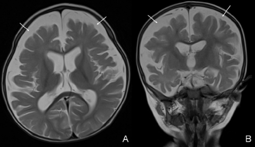
Na slikanju z magnetno resonanco sta bila vidna kortikalna atrofija in povečanje subarahnoidnega prostora. Ravni vitamina B12, hemoglobina in srednji korpuskularni volumen matere so bili 232 pg/ml, 12,2 g/dl oziroma 104,5 fL.

Megaloblastno anemijo zaradi pomanjkanja vitamina B12 so diagnosticirali na podlagi kombinacije kliničnih in laboratorijskih izvidov, vključno s klinično sliko, povečanim srednjim telesnim volumnom (makrocitozo), hipersegmentacijo nevtrofilcev in nizko ravnijo vitamina B12.
Otrok je dobil intramuskularno injekcijo 1 mg kobalamina in je hitro nevrološko okreval. Tri dni po prvi injekciji se je ponovno smejal in ni bil več letargičen ali hipotoničen. Hematološke vrednosti so se izboljšale v drugem tednu zdravljenja. Njegovi starši so bili zadovoljni, saj se je pri njem močno izboljšal duševni in gibalni razvoj. Tako so se izboljšale komunikacijske sposobnosti s starši, izboljšal se je apetit in ponovno je lahko nadzoroval glavo.
Ko je bil star 18 mesecev, je začel hoditi. Kontrolna magnetna resonanca lobanje, opravljena tri mesece po začetku zdravljenja, je pokazala okrevanje možganske atrofije. Širina subarahnoidnega prostora je bila v normalnem območju. Zaradi nevrološkega izboljšanja in normalnih hematoloških vrednosti je bilo zdravljenje s kobalaminom prekinjeno pri starosti 18 mesecev.
Pomanjkanje vitamina B12 je verjetno drugo najpogostejše pomanjkanje vitamina, ki povzroča anemijo. Gre za megaloblastno anemijo z visokim srednjim korpuskularnim volumnom in tipičnimi morfološkimi značilnostmi, kot je hiperlobulacija jeder granulocitov (5). V državah v razvoju je pomanjkanje vitamina B12 velik problem. Študija iz Turčije je pokazala, da je imelo skoraj 40 % žensk v reproduktivni starosti pomanjkanje vitamina B12. Poleg nezadostnega vnosa vitamina B12 s hrano je lahko takšno pomanjkanje posledica sindroma malabsorpcije kobalamina ali perniciozne anemije.
Zaradi pomanjkanja sinteze vitamina B12 pri ljudeh in njegovega obstoja le v živalskih proizvodih lahko vegetarijanska, veganska ali makrobiotična prehrana povzročijo pomanjkanje vitamina B12. Priporočen vnos vitamina B12 s hrano za odrasle je 2,4 μg/dan; 2 do 3 mg vitamina B12 se shranjuje predvsem v jetrih. Zato je potrebnih več let prehranskega pomanjkanja, preden se stanje klinično pokaže.
Dnevne potrebe po vitaminu B12 za otroke in mladostnike so od 0,4 do 2,4 μg, njegovo skladiščenje pa znaša približno 25 μg. Človeški zarodek dnevno akumulira od 0,1 do 0,2 μg vitamina B12. Vnos vitamina B12 s hrano se mora med nosečnostjo povečati z 2 do 2,2 μg/da. Kobalamin se pri plodovih mater s pomanjkanjem kobalamina aktivno prenaša prek placente, dojenčki takih mater pa so ob rojstvu hematološko normalni. Vendar so njihove zaloge kobalamina nizke, in ker se raven kobalamina v materinem mleku natančno ujema z ravnijo kobalamina v njihovem serumu, je ob rasti dojenčkov, če je dojenje edina izbira prehrane, pripravljeno okolje za razvoj pomanjkanja kobalamina.
V prvih šestih tednih življenja se raven kobalamina v serumu dojenčkov znatno zmanjša. To lahko odraža učinkovito porabo kobalamina v rastočem organizmu v kombinaciji z omejenimi telesnimi zalogami in nezadostno oskrbo. Ob oceni kliničnih in laboratorijskih izvidov bolnika menimo, da je bilo stanje povezano s pomanjkanjem vitamina B12. Ob podrobnem izpraševanju anamneze je bolnikova mati poročala, da je vegetarijanka in da med referenčno nosečnostjo ni jemala nobenih dopolnil vitamina B12.
Čeprav je bila materina raven hemoglobina v mejah normale, je bila raven kobalamina v serumu blizu spodnje meje normale, srednji korpuskularni volumen pa je bil višji. Zato se je štelo, da je bilo shranjevanje vitamina B12 pri materi omejeno in da mati med nosečnostjo in dojenjem ni prenesla dovolj vitamina B12. Zato se je razvoj otroka, ki je bil sprva normalen, zaradi pomanjkljivega shranjevanja vitamina B12 ustavil in pojavila se je sedanja klinična značilnost.
Patofiziologija nevrološke okvare, povezane s pomanjkanjem vitamina B12, še vedno ostaja nejasna. Dror in drugi so navedli več spodaj navedenih teorij o mehanizmih, s katerimi pomanjkanje vitamina B12 povzroča nevrološke okvare:
- zapoznela mielinizacija ali demielinizacija
- razmerje med spremenjenim S-adenozilmetioninom in S-adenozilhomocisteinom
- neravnovesje med faktorjem tumorske nekroze-α in epidermalnim rastnim faktorjem
- kopičenje laktata
Okvare mielinizacije zaradi pomanjkanja vitamina B12 lahko pomembno vplivajo na delovanje osrednjega živčnega sistema, saj spremenijo hitrost prevodnosti v več sistemih. Na primer, počasnejša prevodnost v slušnem in vidnem sistemu lahko ovira učenje in socialno interakcijo. V zgodnjem razvojnem obdobju se torej mielinizirajo številni možganski sistemi. Pridobivanje kognitivnih sposobnosti sovpada z vzorcem mielinizacije osrednjega živčnega sistema. Zato upočasnitev mielinizacije možganov v zgodnjem otroštvu vodi v zapoznelo pridobivanje kognitivnih spretnosti, atrofija možganov pa v regresijo teh spretnosti. Kljub starosti 12 mesecev je bil primer tega otroka letargičen, se ni smejal in ni vizualno sledil predmetom.
Simptomi in znaki pomanjkanja vitamina B12 se pojavijo med 4. in 12. mesecem starosti in vključujejo nerazvijanje, letargijo, hipotonijo ter zastoj ali regresijo razvojnih sposobnosti. Pomanjkanje vitamina B12 je lahko tudi vzrok za epileptične napade dojenčka. Kot v tem primeru, vse kaže, da nevrološki simptomi prizadenejo osrednje živčevje, v hujših primerih pa se razvije možganska atrofija. Približno polovica prizadetih dojenčkov ima nenormalne gibe, vključno s tremorjem, mioklonusom in koreoatetoidnimi gibi. Ti nehoteni gibi običajno izzvenijo v nekaj dneh po zdravljenju.
V literaturi je zaradi težav, povezanih z nadaljnjim spremljanjem, malo podatkov o dolgoročnem razvoju po hudih nevroloških spremembah pri otroškem pomanjkanju vitamina B12. Z dolgoročnimi motnjami po dolgotrajnem pomanjkanju vitamina B12 pri dojenčkih naj bi bili povezani nizek inteligenčni kvocient (IQ) ter psihomotorični in jezikovni zaostanek. Dolgoročna prognoza je odvisna od celotnega trajanja pomanjkanja in resnosti simptomov, ne pa od serumskih ravni vitamina B12 ali vrednosti hemoglobina ob sprejemu.
Vse kaže, da imajo dojenčki, diagnosticirani in zdravljeni pred enim letom starosti, ugodnejši nevrološki izid kot tisti, ki so bili zdravljeni pozneje. Ne smemo pozabiti, da začetno izboljšanje po zdravljenju morda ne bo dolgoročno prineslo ugodnega izida. Pri tem bolniku so opazili hitro nevrološko okrevanje; tri dni po prvi injekciji se je ponovno smejal in ni bil ne letargičen ne hipotoničen. V šestem mesecu zdravljenja je začel hoditi, ko je bil star 18 mesecev. Kontrolna magnetna resonanca lobanje, opravljena tri mesece po začetku zdravljenja, je pokazala okrevanje možganske atrofije.
Ugotovitve iz pričujoče študije primera kažejo, da je treba pri etiološki diagnozi nevroloških simptomov pri dojenčkih upoštevati pomanjkanje vitamina B12, zlasti ob prisotnosti megaloblastne anemije in razvojnega zaostanka. Zdravstveni delavci morajo upoštevati, da se pri bolnikih s pomanjkanjem vitamina B12 lahko pojavijo nepričakovani znaki in simptomi, kot so zaostanek v razvoju, možganska atrofija in subduralni izliv, kot smo videli pri našem bolniku.
Zaključek
Pomanjkanje vitamina B12 je več ali manj odpravljiv vzrok nevroloških motenj, anemije in neuspešnega razvoja pri dojenčkih, ki jih dojijo matere s pomanjkanjem vitamina B12. Prepoznavanje nevroloških simptomov pomanjkanja vitamina B12 pri dojenčkih lahko omogoči zgodnjo diagnozo in ustrezno zdravljenje.
Zaradi pomembnosti vitamina B12 pri razvoju možganov ploda in novorojenčka se morajo vegetarijanske in veganske matere zavedati hudih in ne povsem popravljivih poškodb, ki jih povzroči nezadosten vnos vitamina B12 med nosečnostjo in dojenjem. Zato si je treba prizadevati za preprečevanje njegovega pomanjkanja pri nosečnicah in doječih materah z vegansko prehrano ter njihovih dojenčkih.
Široko ponudbo vitaminov B12 dobite TUKAJ.
Prav tako je pomembno, da se za zgodnje preprečevanje in zdravljenje naredi prehranska anamneza tako dojenčkov kot njihovih mater. Da bi povečali vnos vitamina B12 s hrano, mora biti prehrana bogata z živili živalskega izvora, kot so mlečni izdelki, rdeče meso, jajca in ribe. Priporočeni vnos vitamina B12 s hrano naj bi se med nosečnostjo povečal z 2 na 2,2 µg/dan. Z zgodnjim ozaveščanjem lahko preprečimo potencialno nepopravljive nevrološke okvare.
PREBERITE TUDI: Harvardska profesorica: "Živalska hrana, sploh meso, je nujna za duševno zdravje"


































